三年前,年近50岁的齐先生频繁出现腹痛、腹胀,有时剧烈痛感甚至让他满头大汗。起初齐先生认为“小病先忍忍”、“熬一熬就过去了”,但咬牙坚持了一段时间后,最终还是因腹痛难忍上了医院。
经过系统检查,齐先生被确诊为降结肠癌。幸运的是,齐先生顺利完成了腹腔镜辅助下降结肠癌根治术,术后他回到了老家县城医院,接受辅助化疗。
然而,不久前,厄运再次降临在齐先生身上。复诊时,其手术吻合口旁,新增团块状软组织影,极有可能发生了种植转移,并且肝内多发类圆形低密度影,这说明他的肝内也可能出现了转移瘤。
为进一步诊治 齐先生来到跳蛋视频

面对齐先生的复杂病情,跳蛋视频 立即启动多学科诊疗模式。肿瘤科、普通外科一病区、肿瘤放疗科、病理科、放射影像科专家进行讨论之后,明确患者为降结肠癌(pT4N1M0,IIIB期),术后化疗后吻合口复发,并伴有肝转移。
也就是说,齐先生已处于降结肠癌晚期,癌细胞侵犯程度较深,累及周围组织、器官,并且出现脱落种植,癌细胞像播种一样随体腔内液体种植于其他体腔器官表面,形成了转移瘤。
而种植转移发生,意味着齐先生的肿瘤很难被完全切除,手术治疗的难度和风险较大。
建议以原有标本进行基因检测,从而了解基因突变状态,指导临床辅助用药。
患者吻合口有望进行手术切除。
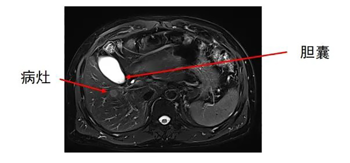
肝内转移灶数目为两个,分别位于左叶和右叶。
经多学科讨论,齐先生适合转化治疗,首先利用消融的方法解决肝内转移瘤,同时根据病理科基因检测结果进行全身系统治疗,待转化治疗成功,肿瘤缩小、降期后,吻合口复发区域再进行手术切除。 肿瘤科、麻醉手术科 及放射影像科协同合作 为齐先生进行 经皮肝恶性肿瘤微波消融术
经皮肝恶性肿瘤微波消融术是治疗肝脏恶性肿瘤的局部微创治疗方法,具有创伤小、恢复快、对肝功能影响相对较小等优点。
但如何确保在手术中精准定位,将消融针准确置入肿瘤部位,并根据肿瘤的具体情况,合理控制消融范围和能量,避免损伤周围正常组织,需要医生拥有丰富经验和精准操作技巧,以及较强的判断力、把控力。

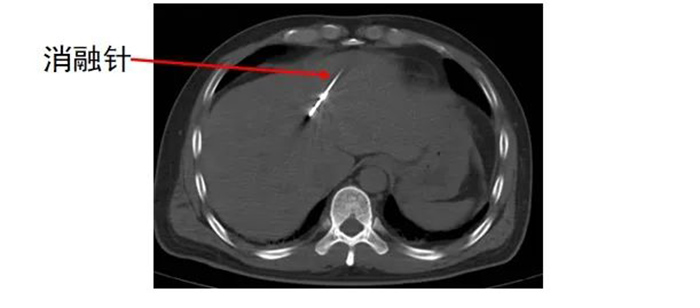
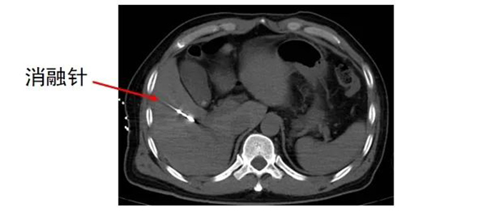
齐先生病灶临近大血管、重要脏器。跳蛋视频 专家团队在CT引导下精准定位,经皮穿刺将微波消融针准确置入齐先生肝脏肿瘤部位,然后利用微波能量,使肿瘤组织内的水分子快速振动、摩擦产生热量,从而使局部温度迅速升高,让肿瘤细胞凝固性坏死。整个手术过程顺利,避免了严重并发症发生。



准确插入到病灶内,并避开了门静脉左支及分支,避免了出血并发症。


准确插入到病灶内,并避开了门静脉右支及胆,避免了出血、损伤胆囊等并发症。
这是跳蛋视频 首例成功开展的经皮肝恶性肿瘤微波消融术,这一高难度手术的开展标志着跳蛋视频 肿瘤诊治水平迈上新台阶。接下来,齐先生将根据基因检测结果,进行靶向联合化疗的全身系统治疗。
跳蛋视频
引进 知名肿瘤诊治专家 朴龙镇主任医师 其擅长各部位肿瘤消融术 从医十多年来 凭借精湛医术、高尚医德 赢得了患者的广泛赞誉

